
PHYSIOTHERAPY
PRIVATE DIAGNOSTIC ULTRASOUND
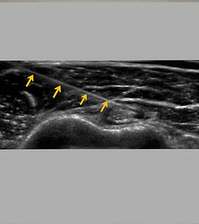
ULTRASOUND GUIDED INJECTIONS
in Sudbury, Suffolk
Hands-on physiotherapy
Shockwave therapy
Acupuncture
Sports massage
20+
years experience
450+
5* reviews
11,000+
patients satisfied

Our Motive is to empower you
At Physio Motive, we’re committed to empowering you with accurate diagnosis, clear education, and personalised treatment. We focus on getting your diagnosis right the first time and building a plan that supports lasting recovery and helps you reach your goals, without the long waiting lists.​​
PHYSIOTHERAPY in SUDBURY, SUFFOLK

Located in Sudbury, Suffolk, Physio Motive is a trusted physiotherapy and sports injury clinic known for its friendly, hands on approach and exceptional patient care. We take the time to listen, understand your concerns, and deliver evidence based treatment that helps you recover, stay active, and feel your best.
Do you need a referral?
No, you can book directly.
Insurance does not currently cover this service, scans are self funded.
If you’re unsure whether you need a scan, you can book a physiotherapy assessment first to explore your options.
WHY CHOOSE US?
Private Diagnostic Ultrasound and Ultrasound Guided Injections
We are proud to be the only clinic in the area offering private diagnostic ultrasound and ultrasound guided injections. These advanced services provide fast and precise answers about your pain or injury, allowing for accurate diagnosis and targeted treatment that supports quicker recovery and better outcomes.


Your recovery, your way
You will benefit from quick access to experienced physiotherapists, modern facilities, and the latest rehabilitation technology so you can begin your recovery without long NHS waiting times.
At Physio Motive, our goal is simple. We help you move better, feel stronger, and confidently return to the activities you love.
Partners







TESTIMONIALS
CONTACT US
Are you struggling with pain? Unsure who to ask or what to do? Would you like to speak to an experienced member of the team? Find out more about your specific problem and how we can help by filling in the form below. One of our knowledgable and friendly team will be in contact with you as soon as possible.









_edited.jpg)



